If you’re looking for dental fillings in Southampton, we provide strong, natural-looking solutions that restore your teeth and protect it from further damage. Our modern fillings are designed to blend seamlessly with your natural teeth while keeping you comfortable throughout the treatment.
At Portland Street Dental Care, we focus on long-lasting results, gentle care, and clear pricing—so you can fix dental problems early and smile with confidence.
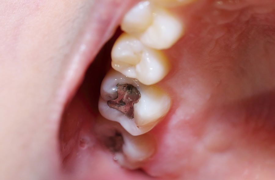
At Portland Street Dental Centre, we offer white fillings to repair cavities and minor tooth damage while keeping your smile natural. White composite fillings are carefully colour-matched to your teeth, making them almost invisible when you smile or speak. Unlike traditional silver fillings, white fillings bond directly to the tooth, helping to strengthen the remaining structure and reduce the risk of further damage.
Our experienced dentists use high-quality materials and modern techniques to ensure your white filling is durable, comfortable, and long-lasting. White fillings are suitable for both front and back teeth, restoring function while maintaining a natural appearance.
Our white (composite) fillings are ideal for repairing cavities, cracks, or minor tooth damage without affecting the look of your smile.
Why patients choose composite fillings:
These fillings bond directly to the tooth, helping restore strength while reducing the risk of future damage.
Dental fillings are commonly recommended if you:
If you’re unsure, a quick examination will tell us whether filling is the right solution—or if another treatment, such as gum treatment or dental hygiene, is needed.

Your dentist gently numbs the area and removes any decay or damaged tooth material to prepare the tooth.

A special gel is applied to help the composite material bond securely to the tooth surface.

The white composite material is applied in layers. Each layer is hardened using a curing light to create a strong and durable filling.

The filling is shaped to match your natural bite and polished to provide a smooth, stain-resistant finish.
Amalgam fillings are strong and long-lasting but are silver in colour and more noticeable. They may also require removing more of the healthy tooth structure during treatment.
White fillings provide a more natural look and bond directly to the tooth, allowing for a more conservative treatment approach. Many patients choose white fillings because they combine strength, durability, and improved aesthetics.
If your tooth pain is urgent, we can also help through our emergency dental care service.
No. The area is numbed, and most patients feel little to no discomfort.
With good oral hygiene and regular check-ups, composite fillings can last many years.
Yes. Tooth-coloured fillings are ideal for visible areas.
You can usually eat once the numbness wears off—your dentist will advise you.
Yes. Modern composite fillings are strong and suitable for both front and back teeth.
EXCELLENT Based on 82 reviews Posted on Anita Hair2026-02-26Trustindex verifies that the original source of the review is Google. I’ve had an excellent experience with Costin and Pam at Portland Street Dentist. I decided to get braces just before turning 30, and it’s honestly one of the best decisions I’ve ever made. My teeth are now so straight, and I couldn’t be happier with the results. I was quite nervous at the start and told Costin that I really don’t like dentists or pain, but every single appointment was handled with such care and gentleness. They always made me feel comfortable and reassured throughout the whole process. I would absolutely recommend Portland Street Dentist to anyone considering braces especially if you’re feeling a little anxious like I was! I have also had other dental treatment here, and has been great service every time.Posted on Lewis Ball2026-02-05Trustindex verifies that the original source of the review is Google. I honestly can’t recommend this dentist highly enough! I had Spark orthodontic treatment and the results are absolutely fantastic. My face aches from smiling so much! 😁 Pam and Costin have been incredibly welcoming from the start and the level of care they provide is exceptional. They made every appointment comfortable, reassuring, and kept me informed throughout. I now wouldn’t want to go anywhere else! Thank you both again for such brilliant results!Posted on Jade Mori2025-08-22Trustindex verifies that the original source of the review is Google. Pamela and Costin made me feel welcome and relaxed throughout the process of my dental work. All of my options were explained with pros and cons, and they went the extra mile to ensure that I would leave happy with my new smile (which I really did!). Costin is a perfectionist!Posted on Καλλιόπη Κασάπογλου2025-07-02Trustindex verifies that the original source of the review is Google. I had my braces fitted at Portland Street Dental and I couldn't be happier with my smile! Pamela and Costin immediately make you feel comfortable and secure! I continue staying as a long term patient! 5 stars!Posted on Kim Wells2025-06-26Trustindex verifies that the original source of the review is Google. As a nervous patient, Pamela and Costin made me feel at ease from the very beginning. I had a root canal filling, two smaller fillings and a clean. I can honestly say that it's been the best dental experience I've ever had. I would recommend them to anyone.Posted on paula caplen2025-05-29Trustindex verifies that the original source of the review is Google. Wow what can I say costin and Pamela made me so welcome I had my teeth taken out just after lockdown and had a temporary set but were perfect I didn’t go back until 5 years later as my dentures had snapped costin and Pamela talked me through everything I had my 2 teeth cleaned impressions taken a bite test then a wax fitting I went today for my new dentures and haven’t stopped smiling thankyou so very much my confidence has hit the roof highly recommend will never go anywhere else 😁😁🌹Posted on CR41GK192025-02-25Trustindex verifies that the original source of the review is Google. Great experience, very personal, welcoming, caring and calming. Highly recommend.Posted on Corina Vasile2024-12-18Trustindex verifies that the original source of the review is Google. My experience with the practice and both Costin and Pamela was absolutely great because I felt safe, really looked after, treated with respect and kindness at all times. This is that type of place where you feel you are at the centre of their efforts and the price is a fair one compared to so many other places. Pamela and Costin worked with me for aprox 3 years now. I first had a crown made and then braces and the result of both is just amazing. Nothing was too much for them and they went beyond and above with their care and assistance so I can enjoy smiling again. Thank you both for a really meaningful experience with an outstanding result😘Posted on Nvk K.n.v2024-10-21Trustindex verifies that the original source of the review is Google. I had a very wonderful journey with Portland Dental Care team on my journey to my lovely smile. Very nice team never encountered any appointment cancellations everything was perfect 😄😄 its like i started a week ago with them the way they are nice and efficient. Thank you againg for having me as a patient for these past 2 years.
Designed & Built by Freedom Search